Tarsal kemikler talus, kalkaneus, naviküler, küboid ve küneiform kemiklerdir. Bu kemikler arasında doğuştan bir bağlantı olması durumuna tarsal koalisyon (birleşme) adı verilir. Bu bağlantı doğuştan gelmekle beraber sıklıkla ergenlik sonrasında şikayetlere neden olur.

Tarsal koalisyon neden oluşur?
Tarsal koalisyon, ayak kemiklerinin gelişimi sırasında oluşan bir ayrışma anomalisidir. Bu kemikler arasındaki birleşme fibröz doku, kıkırdak veya kemikten oluşmuş olabilir. Toplum içerisindeki görülme sıklığı %1 oranında bildirilmektedir ve olguların yarısında diğer ayakta da tarsal koalisyona rastlanır. En sık; talokalkaneal ve kalkaneonaviküler eklemler arasında koalisyon görülür.
Tarsal koalisyon ne gibi şikayetlere neden olur?
Tarsal koalisyon doğumdan itibaren mevcut olsa da yakınmalar hemen her zaman ergenlik döneminde ortaya çıkar. Küçük bir hasta grubunda da, erişkin döneme kadar herhangi bir şikayet görülmeyebilir.
Tarsal koalisyonu olan hastalarda en sık karşılaşılan şikayet ağrıdır. Hastalar özellikle düz olmayan zemindeki aktivitelerinde ağrıdan şikayetçi olurlar. Buna ek olarak çabuk yorulma, ayakta dışa dönüklük ve ayak dış tarafında kas spazmları görülebilir.
Tarsal koalisyon tanısı nasıl konulur?
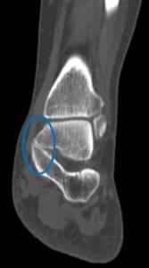
Öykü ve fizik muayene yol gösterici olmakla birlikte ayak AP-Lateral ve oblik grafileri tanı açısından yardımcı olmaktadır. Doktorunuz cerrahi planlanmasında veya tanı açısından şüphe duyulması durumunda ise bilgisayarlı tomografi ve manyetik rezonans tetkiki ile detaylı inceleme yapmak isteyebilir.

Tarsal koalisyon tedavisinde ne yapılır?
Günlük aktivitelerin düzenlenmesi, kişiye özel tabanlık kullanımı, ağrı kesici ilaçların kullanımı ve buz uygulamaları ile şikayetlerin önüne geçilmesi hedeflenir. En az 6 aylık cerrahi dışı tedaviye rağmen şikayetlerin devam ettiği hastalarda ve tarsal birleşmeye bağlı eklemde dejeneratif artrit (kireçlenme) gelişmesi durumunda cerrahi müdahaleye ihtiyaç duyulmaktadır. Yapılacak cerrahiye birleşmenin eklemde etkilediği alanın büyüklüğüne, hastanın yaşına, eklemdeki dejenerasyonun derecesine göre karar verilir.